
24 noviembre 2013
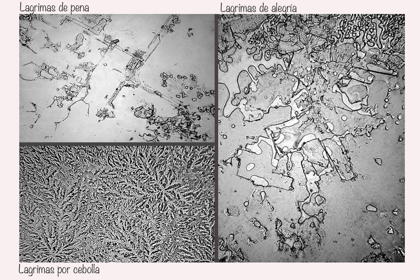
SABIAS QUE LAS LAGRIMAS DE PENAS Y ALEGRIA SON DIFERENTES
Publicadas por
Unknown
a la/s
11/24/2013 07:41:00 a.m.
No hay comentarios.:
Etiquetas:
descubrimientos,
sabias que?
Curioso descubrimiento!
Las lágrimas de penas y de alegría son diferentes vistas a través del microscopio. 

Suscribirse a:
Comentarios de la entrada (Atom)








No hay comentarios.:
Publicar un comentario